Evaluating the quality of collected eggs and embryos
6.10.2022 · 1 min reading
During IVF treatment, you may encounter various abbreviations that indicate the quality of collected eggs or developing embryos. Our laboratory has prepared this article to explain all these technical terms. Your clinic should inform you of the quality of your eggs and embryos during the treatment.
Egg quality: GV, MI, MII
The quality of collected eggs (oocytes) playes a key role in determining whether the IVF process will be successful. An egg that is not ripe is marked GV. This egg is not suitable for fertilisation. An MI-stage egg is almost mature, not yet suitable for fertilisation, but it may mature within a few hours. Mature MII eggs with a visible polar body are used for fertilisation.

After fertilisation, the embryos are cultivated in an incubator, where there is a suitable stable environment for their further development. In our laboratory, we use an Embryoscope equipped with a camera that ensures continuous monitoring of embryos. This technology reduces the need to handle the embryos and allows evaluation of crucial moments of development.
Fertilised egg
If the oocyte has been fertilised, we can see the presence of two pronuclei on the first day.

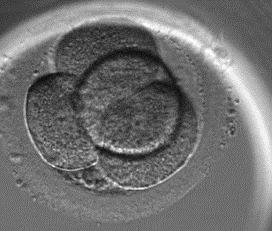
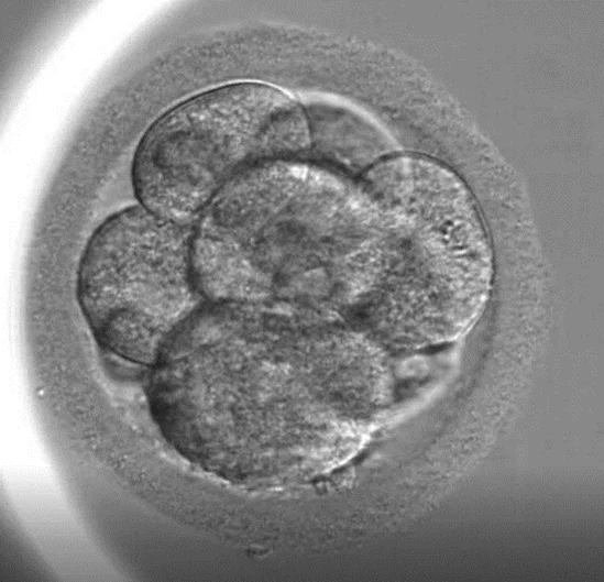
Days two and three: Regular division
In the days following fertilisation, cleavage occurs. This means that the embryo cells divide regularly.


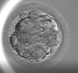
Day four: Morula
On the fourth day, compaction of cells occurs – connections are formed between them and individual cells are no longer visible. At this stage the embryo is called a morula.

Day five: Blastocyst
On the fifth day a blastocyst forms. The cells are arranged in an embryoblast, from which the foetus develops, and a trophoblast, from which the placenta develops.
At this stage, the embryos are transferred or preserved through vitrification for further use.
Throughout the embryo’s development, we should observe regular development without major deviations or unwanted fragmentation.
